Dr. Takahashi,
Mw. Silvia Schiffer, directeur en senior radioloog bij Radiologie Schiffer in Duitsland, deelt haar ervaringen met het Ingenia Prodiva 1.5T MR-systeem.











Lees wat de eerste gebruikers van Ingenia Prodiva 1.5T zeggen over hun ervaringen met het systeem en welke invloed het systeem heeft op hun afdeling Medische Beeldvorming.


Versnel de verwerkingscapaciteit van patiënten met een vereenvoudigde Breeze Workflow.

Een revolutionaire workflow die snelheid en productiviteit geeft

Uitstekende snelheid. Altijd.

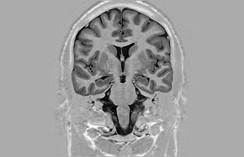
Meer diagnostisch vertrouwen in neuro-oncologie

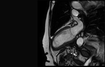
Vind hier de juiste klinische toepassing die aansluit bij uw behoeften

Bekijk alle Ingenia Prodiva 1.5T coils
1 Gebaseerd op een intern onderzoek waarbij de workflow werd vergeleken met het Achieva MR-systeem 2 ComforTone zal beschikbaar zijn voor Prodiva 1.5T in het laatste kwartaal van 2017 3 Gebaseerd op een intern onderzoek waarbij de workflow werd vergeleken tijdens onderzoeken waarbij afwisselend hersenen, ruggengraat, MSK en lichaam werden onderzocht met het Achieva MR-systeem 4 Normaal gebruik wordt gedefinieerd als een traditionele scan die wordt uitgevoerd met een ononderbroken beschikbaarheid van energie, magneetkoeling en zonder onderhoudswerkzaamheden 5 Afhankelijk van de afspraken in het contract en lokale beschikbaarheid 6 Overige MR verwijst naar 60 cm 1.5T whole body MRI-systemen
You are about to visit a Philips global content page
Continue