In een samenleving waarin vergoedingen afnemen en chronische aandoeningen tot meer MR-onderzoeken en langere wachttijden leiden, blijft de druk op de radiologie-afdeling toenemen. Versnelling gaat ten koste van de beeldkwaliteit of kan niet worden toegepast op het hele spectrum aan routine-scans. Daarom is een technologische doorbraak op het gebied van versnelling nog steeds nodig om de verhoogde vraag naar productiviteit te kunnen beantwoorden. Gebruikmakend van onze langdurige leidende positie op het gebied van snelheid (bijv. SENSE), komt Philips nu met Compressed SENSE, een doorbraak op het gebied van productiviteit.
• Baanbrekende versnellingstechniek waarmee niet alleen sequenties versneld worden, maar uw gehele MRI-onderzoek. • Unieke implementatie waarmee 2D- en 3D-scans tot wel 50% sneller gemaakt kunnen worden met een nagenoeg gelijkwaardige beeldkwaliteit.1
• Kan gebruikt worden in alle anatomische contrasten en alle anatomieën.
Ons doel is om de scantijd te verlagen, maar we willen dezelfde beeldkwaliteit als voorheen”
Sabine Sartoretti, MD, Hoofd Neuroradiologie, Instituut voor Radiologie en Nucleaire Geneeskunde, Kantonsspital Winterthur, Zwitserland
Compressed SENSE vergroot de onderzoeksefficiëntie dankzij een kortere scantijd zonder verlies van beeldkwaliteit”
Sachi Fukushima, RT, Kurashiki Ziekenhuis, Japan

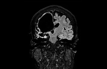
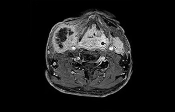
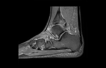
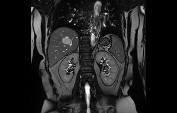
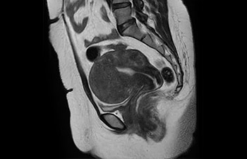
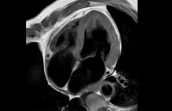
met Compressed SENSE

met Compressed SENSE

met Compressed SENSE

met Compressed SENSE

met Compressed SENSE

met Compressed SENSE

met Compressed SENSE

met Compressed SENSE
Meer informatie nodig over Compressed SENSE. We nemen zo snel mogelijk contact met u op.

Afdelingshoofd Radiologie A.Z. Sint-Jan, Brugge, België, Hoofd & Hals “consulterend radioloog” A.Z. Sint-Augustinus, Antwerpen, België

Lees meer over de belangrijkste principes van Compressed SENSE en hoe het een revolutie in de productiviteit met zich meebrengt. Ontdek hoe Compressed SENSE werd ontworpen met het oog op beeldkwaliteit en hoe het productiviteit voor klinische MR-beeldvorming een stap verder brengt.

Lees over de ervaringen van het Kantonsspital Winterthur (Zwitserland), die Compressed SENSE een eenvoudige, maar krachtige manier vonden om MRI-scans te versnellen voor verschillende contrasttypes en sequenties, zowel in 2D als 3D.



De nieuwe Philips Ingenia Prodiva 1.5T biedt een uiterst intuïtieve aanpak voor snelle, hoogwaardige scans in een scala van geavanceerde toepassingen. Doordoor bewijst de Ingenia Prodiva 1.5T vanaf dag één zijn waarde.

De nieuwe Ingenia Elition-oplossing van Philips biedt ultramoderne MR-beeldvormingstechnieken en is grensverleggend op het gebied van klinisch onderzoek met 3.0T-beeldvorming, dankzij een volledig nieuw ontwerp van de gradiënten en RF-technologie.
1 In vergelijking met Philips-scans zonder Compressed SENSE. Resultaten van casestudy's bieden geen voorspellingen voor resultaten in andere gevallen. Resultaten in andere gevallen kunnen variëren.
2 Met gebruik van Compressed SENSE-technologie en in vergelijking met Philips-onderzoeken zonder Compressed SENSE
You are about to visit a Philips global content page
Continue