IntelliSpace Portal 8.0 is an advanced visualization platform that offers a single integrated solution to help you work quickly and efficiently with increased diagnostic confidence – especially during reading and follow up of complex cases.
Contact aanvragen
We gaan graag met je in gesprek.
Hoe kunnen we je helpen?
Door op de link te klikken, verlaat u de officiële website van Royal Philips ("Philips"). Alle links naar websites van derden die op deze site kunnen verschijnen, zijn alleen bedoeld voor uw gemak en vertegenwoordigen op geen enkele manier enige aansluiting bij of goedkeuring van de informatie die op die gelinkte websites wordt verstrekt. Philips geeft geen verklaringen of garanties van welke aard dan ook met betrekking tot websites van derden of de daarin opgenomen informatie.
Ik begrijp hetYou are about to visit a Philips global content page
ContinueMultiple modalities, one integrated platform
Multiple modalities, one integrated platform
Multiple modalities, one integrated platform
Multiple patient needs, one patient report
Multiple patient needs, one patient report
Multiple patient needs, one patient report
Multiple clinical domains, one standard for diagnosis
Multiple clinical domains, one standard for diagnosis
Multiple clinical domains, one standard for diagnosis
Multiple patient datasets, one unifying vision
Multiple patient datasets, one unifying vision
Multiple patient datasets, one unifying vision
Multiple advanced tools, one consistent workflow
Multiple advanced tools, one consistent workflow
Multiple advanced tools, one consistent workflow
Multiple modalities, one integrated platform
Multiple modalities, one integrated platform
Multiple modalities, one integrated platform
Multiple patient needs, one patient report
Multiple patient needs, one patient report
Multiple patient needs, one patient report
Multiple clinical domains, one standard for diagnosis
Multiple clinical domains, one standard for diagnosis
Multiple clinical domains, one standard for diagnosis
Multiple patient datasets, one unifying vision
Multiple patient datasets, one unifying vision
Multiple patient datasets, one unifying vision
Multiple advanced tools, one consistent workflow
Multiple advanced tools, one consistent workflow
Multiple advanced tools, one consistent workflow
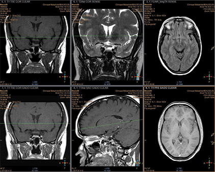
With enhancements to our Neuro and Cardio Suites, 3D printing capabilities, machine learning, and improved integration, come see what's new with the latest version of IntelliSpace Portal, version 9.0.
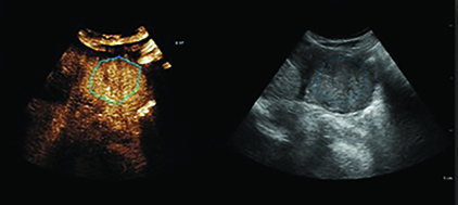
Philips IntelliSpace Portal 8.0 is an advanced visualization and analysis solution offering a single 3-step approach to give you one comprehensive overview of your patient. So you can focus on what’s most important: quick detection, confident diagnosis, and efficient follow-up.


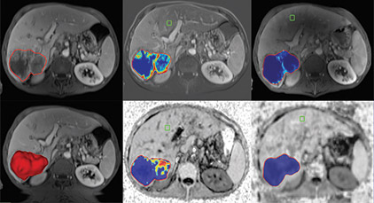
Today’s oncology care decisions are more complex than ever. Caregivers need to assess the benefits and risks for each step of the care continuum while using input from multiple specialists in a care team. Now you can structure workflows around patients and care stages for clinically meaningful insights with the comprehensive portfolio of Advanced Visualization oncology solutions in IntelliSpace Portal 8.0. It’s one solution with a 3-step approach to help you detect and characterize malignancies, and perform quantification and follow-up analyses to assess treatment response.
Given the increasing interest in pulmonary care, IntelliSpace Portal 8.0 offers you one comprehensive toolset to help you track pulmonary disease from detection to follow-up. The new CT Lung Nodule Assessment (LNA) application streamlines your workflow with a comprehensive set of automatic and semi-automatic features as well as a unique risk assessment tool⁽¹⁾ for clinical decision support. Take advantage of CT Lung Nodule CAD⁽²⁾ along with other applications in the Advanced Visualization platform to perform a variety of tasks, such as measure and track COPD, detect pulmonary emboli, and perform calcium scoring.

Clinical advances keep coming. Hospital networks keep growing. And enterprises keep adapting to business realities. Make sure your advanced visualization keeps pace – with IntelliSpace Portal 8.0. With just one platform, you can streamline clinical workflows as you drive standardization and excellence across your enterprise.
Detect, diagnose, and follow up with confidence
• Deliver clinically meaningful insights for complex oncology cases
• Manage pulmonary patients in just one viewing environment
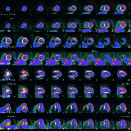
• Have the right visualization and quantification tool when you need it in cardiology, vascular, neurology, orthopedics and other domains
Simplify operations with one platform • Promote interoperability to drive peak efficiency and collaboration across healthcare IT ecosystems • Support scalability regional-wide deployment patterns in line with healthcare consolidation and changing needs • Create custom solutions based on your network and market and drawing on our enterprise consulting capabilities
Turn change into an advantage • Facilitate consistency as well as superb clinical and workflow performance through regular software maintenance • Manage evolving challenges in healthcare through our service agreements
• Meet all your education needs with our one-stop shop approach, including context-based, on-demand learning at your fingertips
⁽¹⁾ Not available for sale in the US ⁽²⁾ CAD functionality not available for sale in the US ⁽³⁾ For research use only ⁽⁴⁾ Not available for sale in all countries. Please check for availability in specific countries. ⁽⁵⁾ Corridor4DM is a registered trademark of Invia, LLC. ⁽⁶⁾ Emory Cardiac Toolbox, ECTb, HeartFusion, and SyncTool are registered trademarks of Emory University. ⁽⁷⁾ NeuroQ is a trademark of Syntermed.
Door op de link te klikken, verlaat u de officiële website van Royal Philips ("Philips"). Alle links naar websites van derden die op deze site kunnen verschijnen, zijn alleen bedoeld voor uw gemak en vertegenwoordigen op geen enkele manier enige aansluiting bij of goedkeuring van de informatie die op die gelinkte websites wordt verstrekt. Philips geeft geen verklaringen of garanties van welke aard dan ook met betrekking tot websites van derden of de daarin opgenomen informatie.
Ik begrijp hetYou are about to visit a Philips global content page
ContinueDoor op de link te klikken, verlaat u de officiële website van Royal Philips ("Philips"). Alle links naar websites van derden die op deze site kunnen verschijnen, zijn alleen bedoeld voor uw gemak en vertegenwoordigen op geen enkele manier enige aansluiting bij of goedkeuring van de informatie die op die gelinkte websites wordt verstrekt. Philips geeft geen verklaringen of garanties van welke aard dan ook met betrekking tot websites van derden of de daarin opgenomen informatie.
Ik begrijp hetYou are about to visit a Philips global content page
ContinueKies een land
Nederland (Nederlands)U kunt onze website het beste bekijken met de nieuwste versie van Microsoft Edge, Google Chrome of Firefox.