
Diagnose
Er staat veel op het spel, zowel op klinisch als financieel gebied. Door gebruik te maken van innovatieve echografieproducten tijdens het gehele zorgtraject, kunnen zorgteams veel efficiënter te werk gaan.
Ontdek hoe de slimme oplossingen van Philips echocardiografieteams in staat stellen efficiënter te werken, vanaf het moment dat een arts het onderzoek start tot aan de voltooiing ervan, inclusief facturering en verwijzing.
Het klinkt zo eenvoudig, maar we weten waar clinici dagelijks mee te maken hebben – ze willen voldoende tijd hebben voor hun patiënten, maar worden bedolven door administratieve taken.
De behoefte aan verandering is groot. De tijd voor verandering is nu.
Wij staan voor u klaar, om u te helpen inzicht te verkrijgen zodat u snel een volledig en helder beeld krijgt van de toestand van uw patiënt. Zo kunt u nauwkeurige en gepersonaliseerde zorgbeslissingen maken met ons Echo Workflow-aanbod.

Beoordeling van de voordelen van Echo Workflow Solution: bevindingen van een tweestaps Delphi-studie.
Deze studie beoordeelt de klinische, operationele en economische voordelen van het Echo Workflow-aanbod. De consensus was unaniem dat het aanbod de toegang tot volledige en longitudinale gegevens kan verbeteren die nodig zijn voor de besluitvorming in de zorg. Tevens kan het leiden tot hogere consistentie, reproduceerbaarheid en het vergelijken van metingen in rapporten. Het aanbod kan bovendien helpen bij een betere samenwerking binnen de organisatie van de gebruiker, en met het besparen van tijd tijdens het rapporteren en/of de diagnose.
“De oplossing helpt bij de vormbaarheid van uw workflow: flexibel & aanpasbaar“.
Lees meer over hoe onze slimme diagnostische oplossingen workflows helpen te stroomlijnen en nuttige inzichten bieden die zowel het klinische vertrouwen als de efficiëntie verhogen, zonder compromis.

Stroomlijn de workflow voor echocardiografie binnen uw organisatie met Philips Ultrasound Workspace. Deze technologie is gebaseerd op het TOMTEC ARENA-platform en zorgt voor een grotere efficiëntie bij het weergeven, analyseren en rapporteren door zorgteams de flexibiliteit te bieden om verschillende workflows te implementeren op basis van hun huidige en toekomstige behoeften.
IntelliSpace Cardiovascular is ontworpen om de workflow te stroomlijnen en de operationele prestaties te verbeteren in het hele cardiovasculaire zorgcontinuüm.

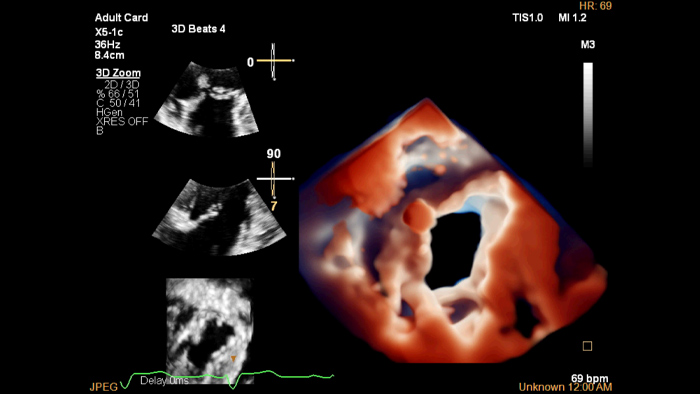
De EPIQ CVX is een speciale cardiale ultrasoundoplossing die aanzienlijke verbeteringen op het gebied van functionaliteit biedt. Dit helpt u betere zorg te bieden door een hogere verwerkingskracht, uitzonderlijke beeldvorming met meer helderheid en scherpte, verbeterde onderzoeksefficiëntie, aangevuld met de bewezen, robuuste kwantificeringsmogelijkheden van Ultrasound Workspace.

Het Philips Affiniti CVx-echografiesysteem is een cardiovasculaire oplossing die ontwikkeld is als antwoord op de dagelijkse uitdagingen van Cardiologie. Hiermee biedt u betere zorg aan meer patiënten.
Bekijk hoe Dr. Saloux, cardioloog bij het CHU de Caen in Frankrijk, op afstand echografiebeelden beoordeelt en tevens overlegt met collega's van andere ziekenhuizen in de omgeving.
Cardiologische beeldvormingsmodaliteiten ondersteunen een meer zelfverzekerde stratificatie van cardiovasculaire toxiciteit en dienen tegelijkertijd als een krachtige basisreferentie voor behandeling en follow-up op lange termijn.
Bezoek onze cardiotoxiciteitspagina om de volledige 2022 ESC-richtlijnen voor cardio-oncologie te lezen.
Benut het hoogste potentieel van uw echocardiografieproramma. Neem vrijblijvend contact op met onze experts.
Stel betrouwbare diagnoses met geïntegreerde productportfolio voor cardiale beeldvorming.
Ontdek de cardiologische oplossingen van Philips die zijn ontworpen om het klinische vertrouwen te versterken, de efficiëntie in het volledige zorgtraject te verhogen en de ervaringen met cardiale zorg te verbeteren.
You are about to visit a Philips global content page
Continue