Verhoog de MR-productiviteit en speel in op de groeiende vraag naar diagnostische beeldvorming van uitzonderlijke kwaliteit met de MR 5300. Deze 1.5T MRI-scanner wordt aangedreven door de exclusieve BlueSeal-magneet van Philips en bevat AI1-technologieën die zijn ontworpen om de meest complexe klinische en operationele taken te automatiseren. Zo kunt u zich richten op het belangrijkste: uw patiënten.


Geautomatiseerde patiëntgerichte workflow
Patiënten zijn binnen een minuut gereed en u kunt het onderzoek starten met één druk op de knop. Verminder de wisseltijd tussen onderzoeken met maximaal 30%4.

Ultrasnelle onderzoeken
Voer MRI-scans tot wel 50%2 sneller uit met een vrijwel gelijke beeldkwaliteit. U kunt routineonderzoeken uitvoeren in slechts 5 minuten.

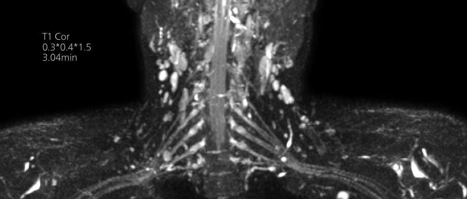
Topkwaliteit diagnostische beeldvorming
Onze lichtste Breeze-spoelen bieden veelzijdigheid en creëren consistente beelden van hoge kwaliteit voor elke anatomie.

Prestaties voor het leven3
Heliumvrij MR-gebruik, hulp op afstand, voorspellend onderhoud, systeemupdates en vervanging van spoelen dragen bij aan lagere eigendomskosten.

Als gebruiker ben ik erg blij met het lichte gewicht van de Breeze-spoelen en de connectors. Daarnaast zijn onze patiënten erg onder de indruk van de aangename scanervaring die MR 5300 kan bieden. Als onze patiënten tevreden zijn, dan zijn wij dat ook."
Dayan Jackson Dudleythurai, radioloog in het Aleris-Hamlet ziekenhuis in Denemarken.
Voer scans met Compressed SENSE tot wel 50% sneller uit 2 met een vrijwel gelijke beeldkwaliteit. Maak uitzonderlijke MR-beelden met een 60% hogere resolutie voor een betrouwbare diagnose.

Conventioneel

Compressed SENSE
Onze lichtste Breeze-spoelen bieden buitengewone veelzijdigheid bij beeldvorming van uitdagende anatomieën en de kleinste gewrichten. Een groot weergaveveld van 55 cm en een hoogwaardige signaal-ruisverhouding dragen bij aan de uitzonderlijke beeldkwaliteit.



Bekijk de Philips MR 5300 van dichtbij. Meer informatie over diagnostische beelden en productdetails.


De BlueSeal-magneet van Philips waarborgt de kleine hoeveelheid vloeibaar helium die nodig is voor koeling in de tunnel. Er is geen sprake van heliumverlies, navullingen of onverwachte kosten.

Luister naar de dialoog tussen MR 5300-klant Michael Kirkegaard, CEO van de Aleris-Hamlet-ziekenhuizen, en Arjen Radder, General Manager van Philips MR, over het belang van duurzaamheid in de gezondheidszorg.

BlueSeal-magneet voor heliumvrij MR-gebruik
De BlueSeal-magneet van Philips waarborgt de kleine hoeveelheid vloeibaar helium die nodig is voor koeling in de tunnel. Er is geen sprake van heliumverlies, navullingen of onverwachte kosten.

Wat is de volgende stap in MR
Luister naar Arjen Radder, Global Business Leader van Philips Magnetic Resonance, over de innovaties van Philips die de toekomst van heliumvrije MR-besturingssystemen vormgeven.
Referenties
1. Volgens de definitie van AI van de EU High-Level Expert Group 2. In vergelijking met Philips-scans zonder Compressed SENSE 3. De minimale levensduur die wij bieden voor een systeem is tien jaar. Onderdelen als verbruiksartikelen en spoelen zijn gegarandeerd in die levensduur, evenals de diensten die we in het contract aanbieden. 4. Vergeleken met CoT tussen routineonderzoeken van de hersenen, de wervelkolom, het lichaam, het hart en MSK in Ingenia 1.5T / Ingenia Ambition 1.5T met dS Anterior en speciale MSK-spoelen
You are about to visit a Philips global content page
Continue